История травмы Неймара: винт в голеностопе, муки на ЧМ и рецидив, которого никто не ждал
Сегодня он вернулся.
В июне Неймар приехал в Ростов-на-Дону, чтобы сыграть за сборную против Швейцарии на ЧМ-2018. Это был первый матч суперзвезды после перенесенной операции на голеностопе, к тому моменту он не играл более трех месяцев. Против швейцарцев Неймар заработал 10 фолов (на ЧМ такого не было 20 лет) и запомнился примерно таким.

После игры в Ростове Неймар шел по микст-зоне, сильно хромая на правую ногу.
– Ней! Ней! Что случилось? – закричали вокруг.
Неймар ответил, что все в порядке, просто игровое повреждение. Но правый голеностоп в тот вечер занимал все его мысли. Даже после обычных рывков и ударов по мячу он останавливался, спускал гетры, стоял по несколько секунд: щупал ногу и прислушивался к боли. Игра получилось провальной.
За несколько месяцев до этого Неймар оттянулся за мячом на свою половину поля в матче с «Марселем», подвернул голеностоп и в слезах упал. Партнеры только секунд через тридцать осознали, что все серьезно, и выбили в аут. У суперзвезды диагностировали перелом пятой плюсневой кости – предстояла операция и три месяца без футбола.

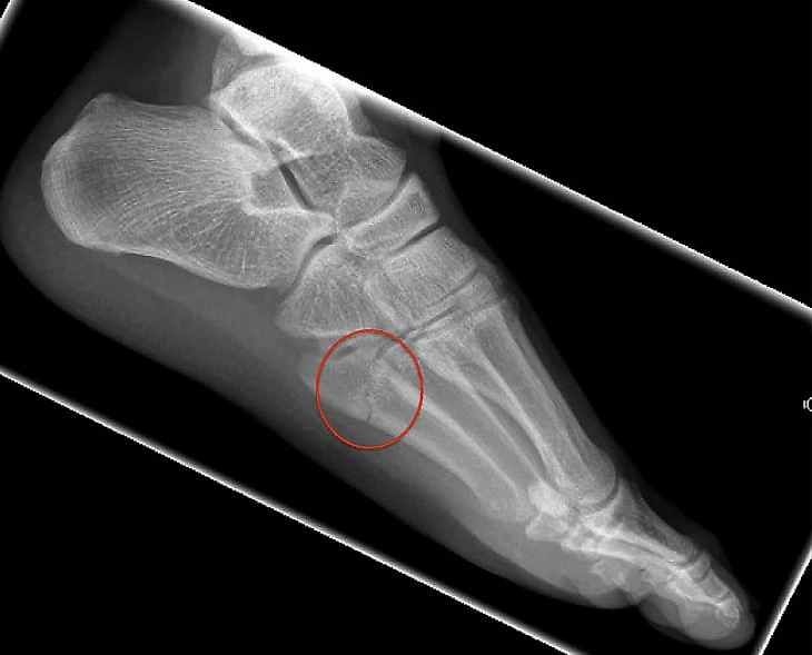
Что это за травма?
Пятая плюсневая – тонкая кость, которая ведет к мизинцу на ноге. На FIFA Medical Network (сеть для футбольных врачей, создана ФИФА) указано, что ее переломы распространены в футболе. Они вызваны либо ударом по ноге, либо сильным изгибом стопы. Как правило, в футболе перелом происходит в самом основании кости.

В случае Неймара речь шла не только о переломе. «ПСЖ» в медицинском отчете уточнил, что бразилец также получил растяжение связок голеностопного сустава. По словам доктора Ланса Сильвермана из американской клиники Ankle&Foot, проблемы со связками и перелом плюсневой кости – взаимозависимые вещи, часто одно следует за другим.
Той весной медиа писали о конфликте интересов между Неймаром и «ПСЖ». Якобы сторона Неймара настаивала на операции, которая бы исключала риск рецидивов до ЧМ-2018, а «ПСЖ» – на консервативном лечении, чтобы поставить футболиста на ноги до матча 1/8 финала ЛЧ против «Реала». Но рекомендации в этом случае довольно четкие: «После травм игрок должен носить фиксирующий ботинок до исчезновения симптомов. Переломы со смещением 2 мм и более, спиральный перелом, а также два и более переломов пятой плюсневой кости обычно исправляют с помощью хирургического вмешательства», – говорится на FIFA Medical Network.
Детали диагноза Неймара не уточнялись, но видимо, речь шла о непростой форме – игрока прооперировали в бразильской клинике The Mater Dei Hospital (Белу-Оризонти).

«Операция, проведенная доктором Родриго Ласмаром, прошла успешно. Она заключалась во внедрении винта, соединенного с трансплантатом, закрепленном на уровне поражения пятой плюсневой кости», – подробно описывал тогда «ПСЖ».
Неймар пропустил остаток сезона и восстановился только к чемпионату мира. Как оказалось, в России он играл через боль, его все еще беспокоил голеностоп.
«Кроме плюсневой кости, у меня еще были другие проблемы, я порвал и связку, поэтому восстановление проходило болезненнее», – вспоминал Неймар в в шоу Esporte Espetacular на бразильском ТВ.
Что случилось в 2019-м?
В кубковом матче со «Страсбуром» Неймар за несколько секунд трижды получил по ногам от Моатаза Земземи, потом неудачно наступил на газон и снова почувствовал резкую боль.

«Та же самая нога, то же самое место», – беспокоился после матча Томас Тухель.
Неймар потом говорил, что после новой травмы плакал несколько дней. Это было заметно – он не смог сдержать слез, когда вышел благодарить друзей на дне рождения. Антони Гонсалвес из «Страсбура» говорил, что игроку такого стиля не стоит плакаться после ударов. За несколько секунд до гола Неймар пробросил мяч над головой Земземи (так называемый rainbow flick) – соперники посчитали это провокацией.
«Это стиль Неймара, – говорил Гонсалвес. – Но [после этого] ты не должен жаловаться, когда получаешь по ногам».
Неймар травмировался на месяц раньше, чем в 2018-м, и выбыл почти до конца сезона. «ПСЖ» вылетал из Лиги чемпионов уже без него.
В официальном сообщении «ПСЖ» назвал эту травму рецидивом старого повреждения, но были и хорошие новости: по данным Globo Esporte, винт, вставленный во время прошлогодней операции, не сместился, это упрощало восстановление. После дальнейших обследований врачи решили, что в новом случае можно обойтись без операции.
Команда Неймара планировала вернуть игрока в дело за 10 недель. Футболист проходил процедуры в Бразилии, Катаре, Франции и Испании. В это время от него ни на шаг не отходил бразильский физиотерапевт Рикардо Роша (работает в сборной Бразилии): замешивал коктейли, считал повторения, контролировал, как футболист жмет 60 кг от груди.

В интервью ютуб-каналу Fui Clear Неймар рассказал о специальных процедурах, ради которых он летал в Барселону: «Они брали мою кровь, загружали в центрифугу, отделяли хорошую часть (медик из команды Неймара уточнил, что это тромбоциты) и вкалывали ее в поврежденный голеностоп. Это улучшало циркуляцию крови и ускоряло восстановление».
Планировалось, что Неймар будет готов к четвертьфиналам Лиги чемпионов, но после поражения от «Ман Юнайтед» уже можно было не спешить.
Рецидива никто не ждал
Две похожих травмы в одно и то же время сезона вызывают тревогу. В медицине есть понятие стрессовый перелом – когда кость не выдерживает постоянной нагрузки. Но надо уточнить, что никто из окружения Неймара и «ПСЖ» не применял этот термин. «Рецидивы после таких травм встречаются не так часто, – объяснял спортивный врач Хулио Градос в интервью El Comercio. – Во время операции вставляется винт и костный трансплантат, чтобы пятая плюсневая кость не сломалась снова. Но в случае с Неймаром, к сожалению, это повторилось».
В книге доктора Жоау Эспрегуйэры-Мендеша «Травмы и проблемы со здоровьем в футболе» примерна та же мысль: «После переломов плюсневых нельзя исключать рецидивы, но в случае пятой плюсневой вероятность не так высока. Если случается рецидив стрессового перелома, то восстановление может занять значительно больше времени, чем после первого перелома».

После подобных травм футболисты топового уровня редко заканчивают. Например, Месси ломал плюсневую кость в в сезоне-06/07 и пропустил почти три месяца. Да, это была самая тяжелая травма в его карьере, но за 13 лет Месси успел о ней забыть.
У Неймара пока другая история, летом ему играть на Кубке Америки – турнир пройдет примерно в те же даты, что и в прошлом году ЧМ. Сейчас все выглядит проще – он обошелся без операции, восстановился задолго до турнира сборной, проблем со связками, кажется, нет. Но учитывая историю голеностопа (кстати, до первого перелома Неймар не травмировался серьезно – вылетал максимум на месяц из-за проблем с позвоночником), от тревоги (как на ЧМ) ему, кажется, не уйти. По крайней мере, в первые недели после восстановления.
Фото: globallookpress.com/Marcelo Machado De Melo/ZUMA Press; globallookpress.com/Panoramic; fifamedicinediploma.com; instagram.com/neymarjr; globallookpress.com/Anthony Bibard/imago/Panoramic; youtube.com/neymarjr; facebook.com/PSG/C.Gavelle/PSG
Главная конспирология о Неймаре сломана: он впервые за 5 лет не улетел на день рождения сестры
Неймар собрал на 27-летие 500 человек: гонял на костылях, пел, танцевал и плакал
В подобной ситуации мне больше понятна позиция НХЛ и НБА, где звёзд от подобного принято защищать. Кому интересна французская лига, если из неё забрать пол дюжины игроков, один из них Неймар?
Я всегда защищал футболистов типа Неймара, Месси, Роналду, Иньесты и друних технарей, они получают по ногам очень много и должны падать и показывать, что их бьют, иначе "Ну ты же не падаешь" работает и на самом высоком уровне.
У Гонсалвеса мусорный бак вместо сердца.