Дэн Хукер показал рентген руки после победы над Тернером – перелом
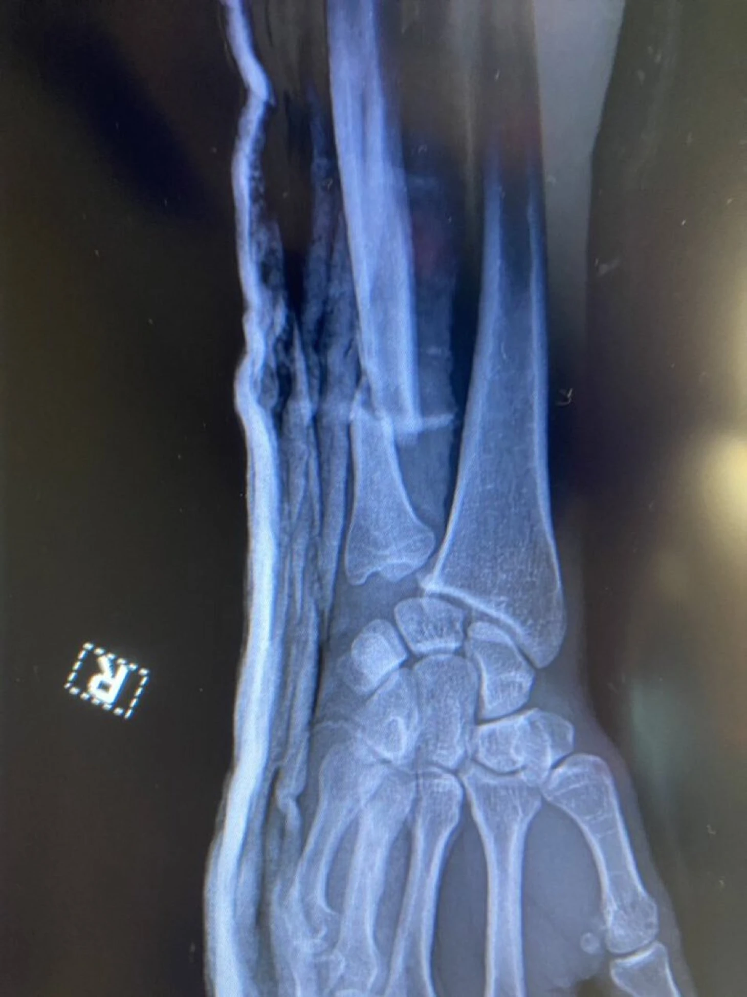
Боец UFC Дэн Хукер сломал руку в поединке с Джалином Тернером.
Спортсмен показал рентгеновский снимок руки – перелом.

Напомним, что Хукер победил Джалина Тернера раздельным решением судей. Теперь в его активе 23 победы и 12 поражений.
Хукер – о видео, в котором Хасбик бьет кошку: «Давайте разрушим карьеру этой #####»
Дэн Хукер: «На 100% уверен, что Ислам Махачев пользовался капельницами»
Опубликовал: Артем Чугунов
Источник: твиттер bjpenndotcom
Комментарии
Материалы по теме
Главные новости
Последние новости



